Blog - Doctor Vadim

Ce este gingia keratinizată și de ce este esențială pentru sănătatea implanturilor

În implantologie, succesul pe termen lung nu depinde doar de integrarea implantului în os. Țesuturile moi din jurul acestuia joacă un rol la fel de important.

Un element esențial este gingia keratinizată.
Deși rar discutată în mod direct de pacienți, calitatea și cantitatea acestei gingii influențează stabilitatea, confortul și sănătatea implanturilor dentare.

Ce este gingia keratinizată?

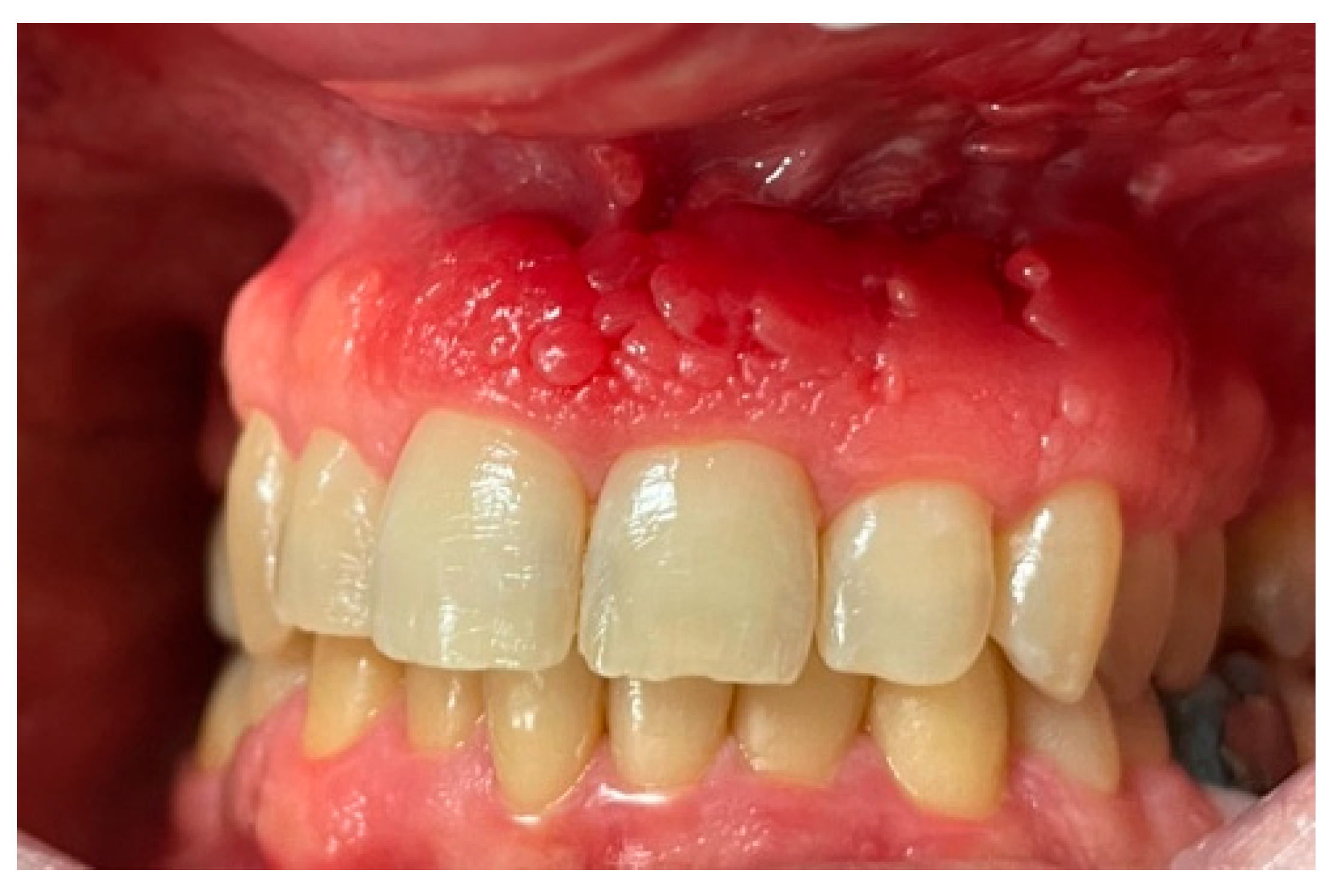
Gingia keratinizată este porțiunea fermă, roz deschis, bine fixată de os, care înconjoară dinții și implanturile.
Caracteristicile ei:
  • este mai groasă și mai rezistentă
  • nu este mobilă
  • oferă protecție mecanică
  • creează o barieră naturală împotriva bacteriilor
Aceasta diferă de mucoasa mobilă, care este mai subțire și mai sensibilă.

De ce este importantă în jurul implanturilor?

În jurul unui implant dentar nu există ligament parodontal, ca în cazul dintelui natural. Prin urmare, țesuturile moi devin și mai importante pentru protecția zonei.
O gingie keratinizată insuficientă poate duce la:
  • inflamație cronică
  • disconfort la periaj
  • retracții gingivale
  • risc crescut de periimplantită
Stabilitatea pe termen lung a implantului este influențată direct de calitatea țesuturilor moi.

Câtă gingie keratinizată este necesară?

Nu există o valoare universală, dar în general:
  • 2 mm sau mai mult oferă stabilitate optimă
  • sub 2 mm poate necesita intervenții de augmentare
Evaluarea se face clinic, în cadrul consultației, prin analiză vizuală și măsurare precisă.

Ce se poate face dacă gingia este insuficientă?

În cazurile în care cantitatea de gingie keratinizată este redusă, pot fi indicate proceduri de:
  • grefă gingivală
  • augmentare de țesut moale
  • tehnici de management avansat al țesuturilor moi
Aceste intervenții îmbunătățesc atât stabilitatea biologică, cât și estetica finală.

De ce este importantă planificarea țesuturilor moi?

În implantologia modernă, planificarea nu se limitează la os. Țesuturile moi sunt analizate încă din faza inițială.
Un rezultat estetic și funcțional stabil necesită:
  • volum gingival adecvat
  • contur armonios
  • sigilare biologică eficientă în jurul implantului
Neglijarea acestui aspect poate compromite rezultatul în timp.

Concluzie

Gingia keratinizată este un factor esențial în succesul implanturilor dentare. Stabilitatea pe termen lung nu depinde doar de implant, ci și de calitatea țesuturilor care îl înconjoară.
Evaluarea atentă și managementul corect al țesuturilor moi fac parte din planificarea modernă a tratamentelor complexe.
Intervențiile care implică reconstrucții sau optimizări ale țesuturilor moi sunt realizate într-un cadru clinic organizat, unde tehnologia și protocolul riguros susțin rezultatele pe termen lung.